
We’re bringing back #MyTri—where we’ll be letting triathletes tell their stories in their own words. To submit your triathlon story email letters@triathlete.com with “My Tri” in the subject line.
In October 2019, I ran my fastest marathon, cutting 20 minutes off my PR from 2013. Fast-forward to October 2020 and I can barely jog two minutes without aching chest pain, body-shaking palpitations, shortness of breath, and constant fatigue. What in the world could have brought me down so fast? A little-known heart condition called pericarditis.
As a family medicine physician, I will admit that I had only learned the basics of this vague diagnosis in medical school. As far as I knew I had never encountered it in any of my patients—or if they did indeed have it, I had not recognized it. Many patients complain of different types of chest pain, but inflammation of the pericardial sac is not the first item on the differential diagnosis. Unfortunately, pericarditis and myocarditis are on the rise now with the COVID-19 pandemic, because pericarditis is commonly caused by viral infections. Sadly, for me, the best way for me to understand this diagnosis better was to experience it firsthand.
RELATED: Meet 3 Triathletes Coping With Long-Haul COVID Symptoms
2019 had been a solid athletic year for me. I was swimming, biking, and running faster than ever. In April at the Oklahoma City Memorial Marathon, I had notched my half-marathon PR (1:34), cutting off five minutes from my 2013 PR. I was swimming almost as fast as I had in high school. I had cranked up my biking speed to race at 22 mph consistently. I even competed at the USA Triathlon National Championships in Cleveland, Ohio in August, improving my performance from two years earlier. It was a special year of achievements and I hoped it signaled that 2020 was going to be even more incredible.
During the winter of 2019/2020, I worked on improving my strength, speed, and endurance. After running of months on the treadmill, when the spring came I could finally do what I love—get completely lost in my thoughts while pounding my shoes on the red dirt of the scenic country roads of Oklahoma. One week before the world came to a screeching halt, I participated in a fun St. Patrick’s Day 5K with my wife and kids. And after months of Zwifting, as the weather improved, my cycling friends and I were finally able to hit the roads. We worked our way up to 2- and 3-hour bike rides, routinely battling the ferocious Oklahoma wind. I was ready to race.
Looking back, I might have had some warning signs about my impending heart squeeze. During or after exercise, there was a tiny amount of heart fluttering, but no pain, and only the expected shortness of breath. Jogging up a flight of stairs at work caused a strong pounding of the heart, with a brief shortness of breath. But it always went away quickly, and I remained clueless that I had a ticking time bomb in my chest.
RELATED: Understanding the Athlete’s Heart
My heart problem eventually hit me hard, but in an ambiguous way that would delay diagnosis. I had been averaging 7-10 hours of training per week and making great strides in my fitness. My cycling buddies and I gradually increased our long bike ride distance, and they wanted to embark on a 100-mile century ride on June 20 to celebrate the summer solstice. I could have picked a more appropriate distance for my training, like 70 or 75 miles, but I figured I was in excellent shape and could easily handle the full 100 miles. It ended up being a horrible decision.
As we rode, we were averaging over 19 mph, with no problems whatsoever. When we stopped at mile 50 at a gas station to refuel, one poor decision I made was to down a huge Dr Pepper and a 700-calorie king-sized candy bar, instead of sticking to my water, Gatorade, Clif shots blocks, and Clif bars. My back was hurting around mile 70 and by mile 78 my chest started feeling weird. I pulled into a gas station, telling my friends that I was cutting my ride short, and I would end up with about 90 miles. I refueled one more time, resting by the gas station door, intentionally staying near people in case I started feeling worse. I must have been too delirious to realize that I should have called my wife to come pick me up. On the 12-mile bike ride home, my heart was strongly pounding against my ribs. I figured I was just getting tired. My legs would not spin like they had before, my power faded, and my average speed dropped significantly. I later told my friend that the north wind must have become stronger, but he told me that there was no wind at all that day.

The rest of that day and that week I was totally exhausted, with mild chest achiness and shortness of breath. I wrongly assumed that those were normal symptoms of riding intensely for five hours. I even got checked for COVID-19 twice, because of my symptoms to be safe, and I was negative.
Rather than resting until I was all the way better, I ran my best speed workout of the year and biked hard on the trainer. I swam some of my fastest workouts in years. But the symptoms got worse. Strong thumping palpitations that bounced my chest, neck, and head. Also, I experienced shortness of breath worse with exertion, and a sore ache to my chest that took hours to go away even after I rested. Lying down at night, the heart beats were so strong that my whole body was jolting, as if someone were rhythmically shaking my bed frame in pace with my heart beats. I felt a little better sitting up in my recliner, but it was still there. Bending over to pick up my kids’ toys off the floor or cleaning the kitchen counter left me feeling totally exhausted and out of breath. It rendered me useless for hours.
I listened to my heart with my high-powered stethoscope and it seemed normal at rest, but during exercise and for one or two minutes following there was a slight whooshing sound with each beat. Also, when I put my fingers in the rib space below my left pectoral muscle, I could feel my heart filling that space, trying to escape my chest with each beat. There was also a bubbly feel to the beat, like a fizzy ocean wave, which might be described medically as a thrill, rub, or fremitus. Later, four different doctors would try to hear and feel what I am describing, without success. I started to feel like I was crazy.
I saw my cardiologist and got checked out to make sure I was not having a heart attack, but all the tests came back normal. Labs for cardiac disease, thyroid, autoimmune—all normal. He ordered an electrocardiogram, echocardiogram, and treadmill stress test. I thought to myself: If there was ever a test for my seemingly exercise-induced chest pain, it should show up on ECG or ECHO, especially with exercise. Wrong, not a single test came back abnormal. I had wondered if I had torn a heart valve or some other rare malfunction, but everything looked great on ultrasound. We even tried a coronary CT angiogram, which is a non-invasive way to look for blocked coronary arteries, but they were thankfully squeaky clean.
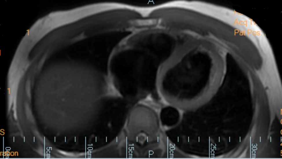
Finally, because my cardiologist was suspecting pericarditis, we did a cardiac MRI, by far the most detailed way to look for pericarditis (inflammation of the sac surrounding the heart) or a pericardial effusion (fluid between the pericardium and the heart). Even this test said I was perfectly normal, and it was one of the worst experiences in my life. They had asked me beforehand if I was claustrophobic, and I had said that I was not. Within 10 seconds of entering the MRI machine, I developed a diagnosis of claustrophobia and my mind had to dive into a deep, deep spiritual place to prevent me from clawing and scratching my way out of that infernal tube. The plain white wall was about six inches from my face with no distracting visual cues whatsoever, and there was no way to tell how much time was passing. Plus, for a cardiac MRI, they want you to wear a heavy chest pad which constricts your breathing, and they want you to hold your breath for 10 to 20 seconds – 70 times! Plus, I was expecting a 45-minute test, and it ended up taking 90 minutes.

To prove that I was not insane, I sought out pericarditis support groups and found amazing solace in the “Global Pericarditis” group on Facebook. I have learned so much from these amazing people struggling with “Peri” as they call it. I found out that most of their cases are much worse than mine. Many of them visit the nation’s leading experts at the Cleveland Clinic and Mayo Clinic. I learned that Peri is not always detectable on tests. For many people, it causes fever, stabbing back pain between the shoulder blades, and debilitating chest pain that keeps them crippled on the couch all day every day. Many of them discovered their Peri at the Emergency Room when the doctors had to drain large amounts of fluid from the pericardial effusion around their heart. They were suffering from a restrictive condition called “tamponade,” where the fluid between the heart and the pericardial sac becomes so massive that it literally squeezes the heart to death. The worst cases might end up getting a pericardial window or a total pericardiectomy, a surgical procedure where they cut out most of the Pericardial sac, so that a future tamponade would be impossible.
They also take strong medications. The cardiac specialists usually recommend NSAIDs, like indomethacin or ibuprofen with food and lots of water to prevent gastritis, stomach ulcers, and kidney injury. They also put many patients on colchicine, an anti-inflammatory medicine, normally written for gouty arthritis. When my cardiologist put me on the full dose, I quickly developed crushing headaches, severe lightheadedness, and nausea and vomiting. I embarrassingly demonstrated the last side effect in front of my medical student, who watched me clutch my stomach and vomit in the nearest receptacle. Thankfully, those side effects were resolved by taking a lower dose.
Many pericarditis patients are on daily long-term prednisone steroid pills, which can cause tons of medical problems: blood pressure and blood sugar issues, fluid retention and weight gain, brittle bones, insomnia, and many more side effects. Prednisone is particularly difficult to taper off without causing additional problems. Many patients are trying to get on a daily injectable biologic medication called Kineret that shows great promise in treating Peri but is not easily covered by most insurances. Other powerful medications are currently undergoing clinical trials.
Fortunately, most cases of Pericarditis are self-limited in a few weeks or months, with or without medication, but some cases progress to a chronic condition causing disability. Peri can be caused by viruses, heart procedures, heart disease, or for absolutely no good reason at all. In my case, it seemed to be caused by over-exertion of my heart from intense endurance exercise.
Pericarditis is like trying to drive a car, but moving faster than 5 mph causes the engine to smoke and overheat. You are forced to put a golf cart speed governor on a racecar, where no matter how hard you push the pedal, you must move at a turtle’s pace. Pushing the effort even a little too hard while swimming feels like lava flowing into the ocean, steaming, and sizzling.
According to the support group people who visit the experts, the trick to exercising with Peri is to keep the heart rate less than 100 bpm. To accomplish this, I can walk at 17 min/mile or slower, but if I go any faster my chest pays a price for hours or days. I used to swim a 1:25/100-yard pace for a mile or more, but now I can barely do a quarter-mile at 2:30 pace, just barely moving my arms and legs fast enough to avoid sinking. I tried biking for 10 minutes at 8 mph, but even that raised my pulse over 100. Also, sitting hunched over to grab the handlebars compressed my chest and made me so short of breath I had to quit. Because of all of this, I have been struggling mentally and gaining weight, because I can’t simply go out for a run like in the past. I can’t even jog one mile—I can only walk slowly, and even that might exhaust me.
RELATED: Understanding the Effects of Exercise On Your Heart
To make 2020 almost completely horrible, I tested positive for COVID-19 on Nov. 10. It started with a runny nose, and a slight cough, and then I got tested to be safe and went home to quarantine. That evening I started to have severe fatigue, body aches, chills, and a horrible dry cough. I also noticed an odd symptom: my scalp and arms were tingling, and all of my skin had a buzzing feeling. Oddly, when I sneezed, my scalp and my arms went totally numb for several seconds. We tested my kids three days later, after they started showing symptoms, and my youngest three were also positive, so they joined me in my quarantine room. We had hoped that my wife and our two older kids had been spared, but as ferociously contagious as COVID-19 is, all of them ended up testing positive one week later. The kids thankfully had very mild illnesses, and my wife only required a few days of rest.
One of the biggest blessings that came out of 2020 was that my friends and I were able to safely direct two local youth and adult sprint triathlons. I had the supreme blessing of witnessing many first-time triathletes navigate their way through the swim, bike, and run in Enid and Fairview, Oklahoma. Although I could not race myself, I thoroughly enjoyed vicariously racing through watching my children, their friends, my nieces and nephews, and many others race their hearts out with huge smiles on their faces.
So, what have I learned as a physician? I will quickly prescribe a sedative medication for any of my patients that need an MRI, because my claustrophobia was like a near-death experience for me. I am also more likely to believe my patients have an actual medical problem based off vague symptoms, even if their labs and imaging return completely normal. I will not dismiss new information from a patient who is telling me accounts of people in support groups or with similar issues, because it might lead to the correct diagnosis. I will dig even deeper to try to find the correct diagnosis.
What have I learned as an athlete? Exercise is great, but I must be much smarter with my training. I have overcome setbacks before, and I will overcome this one too. I once overcame debilitating foot pain that lasted two years. I simply need to be patient and avoid overdoing any physical activities. I need to follow my cardiologist’s advice to rest and let my heart heal. Running and racing triathlons is a wonderful thing, but so is using those 7 to 10 hours per week instead to spend more quality time with my family and work on my creative hobbies. Having gained 15 pounds, I also must now try to lose weight through diet alone, without being able to do as much exercise as possible in the past.
With intense nostalgia, I find myself gazing out at the red dirt country roads, longing for the day when I can freely run and train without my heart trying to squeeze me to death. But I still have hope. Hope for healing and recovery. Hope for an epic comeback. Hope for a return to normal.